| 日本歯周病学会認定歯周病専門医・指導医 | 
インプラントについて
| 「インプラント」とは、歯の抜けたところに、人工の歯根を植え、しっかりと顎(あご)の骨と固定した後、その上に人工の歯をつくり装着する方法です。 さまざまな原因で失った歯にかわり、インプラントで歯をつくる事で、美しい外観としっかり噛む機能を回復させる事ができます。 歯を失って困っていた状態である、「食べ物がよく噛めない」「正しく発音できない」「人前で自然に笑えない」「年老いて見える」などの悩みが、解決できます。 | |||
| 
 | |||
インプラント治療と他の治療との違い
従来は、失ってしまった歯にかわり、ブリッジや取り外し式の部分的な入れ歯や総入れ歯が利用されてきました。このようなものは、隣の健康な歯を削らなければなりません。それに総入れ歯も、しっかり噛むための調整はむずかしく、フィット感が良くありません。
|  | ||
| 
 | 歯が一本ない場合は、隣の歯を削らずに修復します。 | |
|  | ||
|  | 歯が数本ない場合は、インプラントを数本入れてつないで修復します。 | |
|  | ||
|  | 歯がすべてない場合も、インプラントを数本入れてつないで修復します。 | |
|  | ||
| 参考資料:ストローマンポスター | ||
当院のインプラント治療の手順
| 
 | |||||||||||
| 
 | |||||||||||
| 
 | |||||||||||
| 
 | |||||||||||
| 
 | |||||||||||
| 
 | |||||||||||
| 
 | |||||||||||
インプラント治療 フォロチュート
| 
 | ||||||||||||||||||||||||||||||||||||||||||||||
当院のインプラント治療の特徴
| 国際的に一流のインプラント治療をご提供したい。その熱い思いを実践しております。 | 
 | |||
| 1.インプラント手術をするのに最適の手術室や設備があります | ||||
| 手術用特殊フィルター(写真:矢印)を設置し、クリーンルーム化(室内の無菌化)しています。 |  | |||
|  | ||||
| 「外科的手洗い」ができる手術専用大型シンクがあります。 |  | |||
|  | ||||
| ビデオカメラ付きの手術専用ライト(無影灯)が設置されています。暗く狭い口の中を明るくくっきりと照らします。 ビデオカメラの映像は、2か所のモニターで術者とアシスタントが確認しながら手術を進めます。 |  | |||
|  | ||||
| 手術室の壁に鉛が埋め込まれ、手術室全体がレントゲン室になっています。そのため、手術中に、無菌状態でレントゲンを撮ることができます。 入口は二重ドアになっています |  | |||
|  | ||||
| CT診断のために大型シャーカステンを設置しています。 |  | |||
|  | ||||
| 生体モニターを使い、脈拍・血圧・静脈内酸素濃度・心電図を測定しながら行います。全身状態を正確に把握できるので安全です。 |  | |||
|  | ||||
| 壁に酸素と笑気の供給口があり、笑気鎮静法によってリラックスして手術を受けることができます。また酸素により、緊急時の対応もできます。 |  | |||
|  | ||||
| 手術中の唾液・血液・洗浄液を取り除く手術専用バキュームがあります。歯科用バキュームに比べ、吸引能力が高いので万一出血量が多い時でも目詰まりしません。 |  | |||
|  | ||||
|  | ||||
|  | ||||
| 2.インプラントを一生使えることを目標にしています | ||||
| 当院では、虫歯や歯周疾患の治療と予防により、“自分の歯を一生使う”プログラムを実践し、成功しております。同じように、インプラントも一生使っていただきたいと考えています。 | ||||
| 
 |  | |||
|  | ||||
| インプラントを一生使ってもらうには、インプラント周囲のバイ菌を退治することが大切です。そのために、患者様ご自身による手入れのやり方(ホームケア)をご指導します。また、私どもが定期的(2~6か月毎)にお手入れ(プロフェッショナルケア)を行います。 |  | |||
| 歯周炎の治療が不十分なままでインプラント治療を行った場合や、インプラント治療後のメインテナンスが不十分な場合は、術後10年を過ぎる頃からインプラント周囲に炎症がおこりやすいことが明らかとなってきました。この炎症により、インプラントを失うこともあります。 一方、術前からメインテナンスに至るまで、当院が行っているように、歯周疾患の治療と予防を確りやっている場合には、インプラント周囲炎はほとんど起きないことも明らかとなっています。 |  | |||
| 虫歯や歯周疾患は、バイ菌が原因です。このバイ菌を退治することにより、歯は一生使えるようにすることができるようになりました。つまり、この“自分の歯を一生使う”プログラムと同様なやり方で、インプラントを一生使えるようにするわけです。 |  | |||
| このメインテナンスプログラムを実践している当院だからこそ、“インプラントを一生使う”を達成できると考えています。 | ||||
|  | ||||
| 3.当院は、国際的に最も評価が高いインプラントシステムを使用しております | ||||
| 多くのメーカーから、多種類のインプラントが作られています。 当院は、ストローマンインプラント(スイス製)を使っております。 基礎・臨床データーの蓄積が豊富であり、使いやすく精度が高いからです。 一流のインプラント治療には、高品位のインプラントシステムが必要だと考えています。 |  | |||
| 4.院内感染が無い、清潔な埋入手術を行っています | ||||
| インプラント埋入はインプラント体を骨の中に入れる手術です。この時、感染症を起こさないために、一緒にバイ菌が体の中に入らないようにすることが大切です。また、不潔な手術では、インプラントに対し異物反応を起こし、失敗するケースも想定できます。 当院では、患者様を感染症から守るために、また、インプラント手術の確実な成功のために、外科的清潔環境(無菌)下での手術を行います。すなわち、クリーンルーム化(無菌化)した手術室の中で、滅菌したシーツで患者様を覆います。術者は外科的手洗いをした上で、滅菌したディスポの手術着や手袋を着用します。 | ||||
|  | ||||
| (介助者、患者様もすべて外科的清潔状態になっている) | ||||
| 外科的清潔環境でインプラント埋入手術を行うのは、コストがかかりますが、医学的に必要不可欠のことです。当院では、このことを徹底しています。 |  | |||
| 5.インプラント治療の高い成功率(1~8年経過;99%以上)を支える原動力があります。どのような難症例にも対応します。 | ||||
| 院長がインプラント治療を手掛けたのは、1993年(長崎大学歯学部勤務時代)で、既に15年以上の経験を有しています。現在は年間60症例(100本)程度のインプラント治療を手掛けています。当院を開院した2000年以降の1~8年間の成功率は99%以上と高く、どのような難症例にも的確に対応するようにしています。 インプラント治療を担当する歯科医師及び歯科衛生士は経験が豊富で、十分にトレーニングされています。たとえば、歯周治療専門医である院長は、インプラント治療を専門としております(欧米では、外科医としてのバックグランドやインプラントを長期的に成功させるには歯周治療に精通する必要があることから、歯周治療専門医がインプラント治療の中心になっている)。Academy
            of Osseointegration (米国インプラント学会)International Team for Implantology (ITI; 国際インプラント学チーム)をはじめインプラント関係の5つの国際学会、3つの国内学会に所属し、これらの学会への出席、発表を積極的に行っています。また、6種の国際雑誌(英文)を通して常に最先端の情報収集を行っています。2008年から、ITIの下部組織であるITI study
            club Kyusyuの副会長を務めております。 歯科医師及び歯科衛生師は、院内セミナー、院外セミナー、学会参加や学会発表を通して、インプラント学の知識向上に努めています。また、当院のインプラント治療が評価され、院長やスタッフが大学や勉強会から講演を依頼されることも少なくありません。 当院のインプラント治療はこのような豊富な経験、実績とスタッフ教育が生み出した優秀な人材で支えられているからこそ、高いレベルの治療が実践できると考えています。 | ||||
| 米国歯周病学会発表 | ||||
| 
 | ||||
当院のインプラント症例
当院では、あらゆる難症例に的確に対応いたします。たとえば、骨が溶けてしまった場合には、「骨造成術」を併用します。上の奥歯で骨がない場合には、「上顎洞挙上手術」を行います。前歯部では、自分の歯と区別ができないような「審美インプラント」を行います。
      一般的に、歯周炎でのインプラントは長期的にリスクが高いと言われますが、歯周炎をしっかりコントロールしてインプラントを行いますので、そのようなリスクも低くなります。
      「上の歯にはインプラントはできないと聞きましたが本当でしょうか?」とか、「前歯にはインプラントはできないのですか?」と、しばしば尋ねられます。これは、上の歯には上顎洞があり骨が薄い事が多く、また前歯のインプラントは美しく仕上げなければならない為、難症例だと言われているからでしょう。
      当院においては、このような部位においても問題なくインプラント治療を行っております。
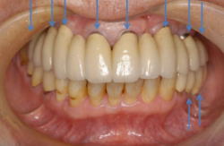
| 症例1 重症の歯周炎に対するインプラント治療(歯を数本失った場合) | ||||||||||||||||||||||||||||||||||
| 
 | ||||||||||||||||||||||||||||||||||
| 症例2 重度の歯周炎に対するインプラント治療(上の歯をすべて失った場合) | ||||||||||||||||||||||||||||||||||
| 
 | ||||||||||||||||||||||||||||||||||
| 症例3 重症の歯周炎・虫歯と不正咬合に対するインプラント治療 | ||||||||||||||||||||||||||||||||||
| 
 | ||||||||||||||||||||||||||||||||||
| 症例4 上顎洞挙上手術 | ||||||||||||||||||||||||||||||||||
| 
 | ||||||||||||||||||||||||||||||||||
| 症例5. 審美インプラント | ||||||||||||||||||||||||||||||||||
| 
 | ||||||||||||||||||||||||||||||||||
| ご呈示いたしました症例のように、口腔健康のためにレベルの高いインプラント治療をご提供させて頂いております。インプラントに関してご質問やご相談がございましたら、是非当院をご受診ください。 | ||||||||||||||||||||||||||||||||||
新着情報
| SLActive®を導入しました。当院では、新たにSLActive®を導入しました。2倍の速さで、より骨とくっつきやすいインプラントです。 | |||||||||||||
|  | |||||||||||||
| 歯科用コンビームCT・デジタルセファロ・デジタルパントモ複合機を導入しました。  更に安心・安全な歯科診療をご提供いたします。 またデジタルパントモ・デジタルセファロに関しては、被ばく量が24分の1にまで減少しました。 | |||||||||||||
|  | |||||||||||||
| ロケーターシステムによる、義歯作成をはじめました。少ない本数のインプラントで、入れ歯をしっかりと固定します。 | |||||||||||||
| 
 | |||||||||||||
| 
 | |||||||||||||
| 今の入れ歯にお困りの方、ご興味のある方は、当院までお気軽にご相談ください。 | |||||||||||||
|  | |||||||||||||
| Straumann® Guided Surgeryを導入しました。 | |||||||||||||
| -このページ上へ | 
 
  
 







 
  
 



































